El Tratamiento del queratocono depende de su estadio:
Estadio inicial o leve (grado 1): Lentes aéreos (gafas) o lentes de contacto.
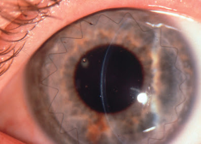
Estadio leve-moderado (grado 2): Entrecruzamiento (Crosslinking) corneal. El mismo se realiza con el fin de endurecer la córnea y evitar su adelgazamiento y progresión a estadios más avanzados.
Estadio moderado (grado 3): Anillos corneales con o sin entrecruzamiento corneal.
Estadio avanzado o severo (grado 4): Transplante corneal lamelar (es decir, de un parte de la córnea) o total (de espesor completo).
En casos de Queratocono estable y evaluando cada paciente en particular se puede realizar una cirugía de lente intraocular fáquico (Artisan) con el propósito de reducir la dependencia a los lentes.
De esta manera el Oftalmólogo Especialista en Córnea y Cirugía Refractiva logra brindar al paciente un abordaje integral del Queratocono.







Como me podría hacer atender con ustedes padezco de queratocono
Me gustaMe gusta
Hola Adrián, con gusto te atiendo. Podes pedir turno al 4532085 o 4539579 o whatsapp 3425766166. Saludos cordiales
Me gustaMe gusta